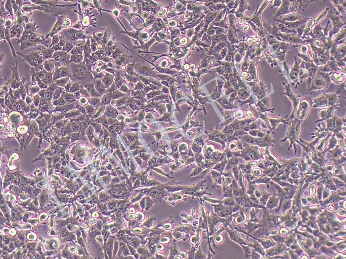
GL-261-LUC(小鼠胶质细胞瘤-荧光素酶标记)

价格 3000.00对比
发货 福建厦门市付款后24小时内
销量 暂无
评价 已有 0 条评价
人气 已有 98 人关注
数量
+-
库存1000件   起订1件
 
联系方式
加关注0

厦门逸漠生物科技有限公司

企业会员第2年
资料未认证
保证金未缴纳

货号:IML-083

规格:1x106cells/T25或1mL冻存管 

形态:成纤维细胞样,贴壁生长

培养基:87%DMEM+10% FBS+1%GlutaMAX-1谷氨酰胺+1%HEPES 1M Buffer solution+PS+1. 0ug/ml puro

培养环境:气相:95%空气+5%二氧化碳;温度:37℃

传代比例:1:2至1:3,每周 2-3次


举报收藏 0
网站首页  |  会员积分规则  |  服务条款  |  法律声明  |  关于我们  |  联系方式  |  使用协议  |  隐私政策  |  版权隐私  |  排名推广  |  广告服务  |  积分换礼  |  网站留言  |  帮助中心  |  网站地图  |  违规举报
苏ICP备2023016422号-7苏公网安备32011802010295