特发性间质性肺炎,其最普遍的类型是特发性肺纤维化 (IPF),这是一种“慢性、进行性和不可逆”的肺部疾病,其特征是肺部间质出现进行性肺部瘢痕形成。广泛的细胞外基质和异常的肺泡结构导致肺功能下降,最终导致“呼吸衰竭”和“死亡”。IPF 的发病机制仍然未知,治疗选择很少。研究人员假设:包括肺泡上皮细胞在内的上皮细胞的持续或重复损伤是触发 IPF 启动的方法之一。肺泡上皮 II 型 (ATII) 细胞是上皮干细胞,在肺泡中具有再生作用以维持肺稳态。有证据表明,p53 是促进 ATII 细胞凋亡和衰老的关键因素,从而导致肺纤维化。
自噬是一种常见的细胞稳态过程,它通过自噬体捕获和融合到降解溶酶体来破坏细胞底物。自噬在面对细胞应激(如 ER 应激、饥饿和缺氧 9-11)时起着促生存机制的作用。自噬受损被认为是由 IPF 患者肺组织中 p62 的积累决定的,这表明自噬可能是 IPF的致病特征。
今天,和大家分享一篇biorbyt的产品文献,发表在《communications biology》上题为“PLAC8 通过促进自噬减轻肺纤维化并抑制肺泡上皮细胞凋亡”的文献,揭示了 PLAC8 可能是肺纤维化治疗干预的关键靶点。
PLAC8 attenuates pulmonary fibrosis and inhibits apoptosis of alveolar epithelial cells via facilitating autophagy
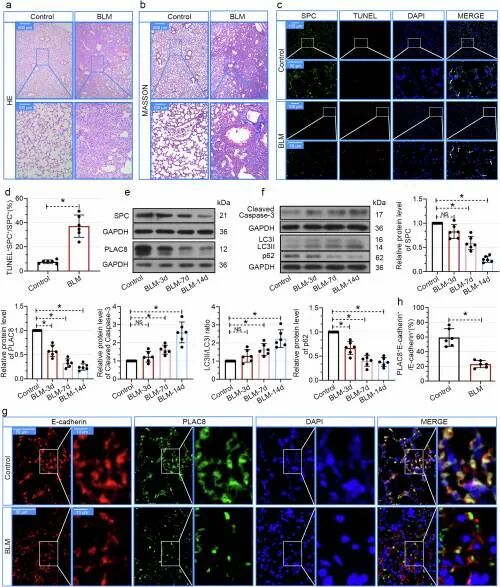
Wei Sun , Bo Zhao , Zhong He , Lihua Chang, Wei Song , Yingying Chen https://pmc.ncbi.nlm.nih.gov/articles/PMC11733279我们发现使用来自基因表达综合 (GEO, https://www.ncbi.nlm.nih.gov/geo/) 的微阵列数据集GSE110147 IPF 患者肺组织中的胎盘相关 8 (PLAC8) 显着降低。此外,我们使用 BLM 建立了肺纤维化小鼠模型,并收集了肺组织用于 mRNA-seq 分析。在这项研究中,我们验证了 PLAC8 的过表达促进原代小鼠肺泡 2 型上皮细胞 (pmATII) 和 A549 细胞的自噬并抑制细胞凋亡。抑制自噬或 p53 过表达部分消除了 PLAC8 对细胞凋亡的影响。使用腺病毒对 PLAC8 进行 ATII 细胞特异性过表达可减轻 BLM 诱导的小鼠肺纤维化。免疫共沉淀/质谱 (COIP/MS) 和 COIP 分析确定 PLAC8 可与肺上皮细胞 A549 细胞中的蛋白 p53、VCP、UFD1 和 NPLOC4 相互作用。我们证明 PLAC8 可能参与联合 VCP-UFD1-NPLOC4 复合物,促进 p53 降解并促进自噬,从而抑制肺泡上皮细胞凋亡和减轻肺纤维化。总之,这些发现表明 PLAC8 可能是肺纤维化治疗干预的关键靶点。
图 1.PLAC8 在 BLM 诱导的小鼠肺中降低。
使用产品及产品链接:
1、兔多抗 PLAC8 Antibody (FITC)(orb462681,Biorbyt)
https://www.biorbyt.com/plac8-antibody-fitc-orb462681.html

请持续关注我们每月的“文献分享”,获取更多不同科研领域的研究动态!