缘起
01
在西医的医疗体系下,大部分肿瘤可以通过分子水平的分析来确定其特定的治疗方案。然而,不同药物的药效、患者的异质性等等都对治疗效果起到了非常大的影响。因此,开发更加精准的肿瘤治疗方案,预测患者对治疗的反应就成了关键。
而随着肿瘤组织类器官技术的快速发展,给了我们希望。通过这项技术,医生可以在体外测试不同的药物对肿瘤细胞的杀伤效果,从而预测最有效的药物,为制定治疗方案提供重要参考。此外,还能为我们揭示肿瘤的形成和发展机制,为拓展肿瘤治疗研究提供新的思路和方法。
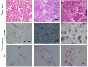
实践 02 肿瘤组织类器官技术在西医研究中大放异彩,这也给中医药的临床治疗和药理研究提供了非常好的提示。在前文“中西医结合的科研思维养成(一)”中已经介绍了通过中药干预肿瘤类器官模型进行机制研究的思路。现在咱们再看看国人尝试利用肿瘤类器官对中药药效的研究吧。 Patient-derived organoids of non-small cells lung cancer and their application for drug screening 期刊:Neoplasma doi:10.4149/neo_2020_190417N346 文章的思路很清晰,总共分三步:建库(类器官培养鉴定)、药筛(类器官与细胞)、药效分析。 首先将肺癌肿瘤组织转化成类器官,并进行形态学和分子鉴定。 其次,利用5种常见的抗肿瘤中药(主要成分,包括白屈菜红碱、斑蝥素、肉叶芸香碱、甜菜碱和黄连素)进行处理干预,肺癌类器官与细胞系作对比。 最后,进行药效比对和分析。 遐想 03 文章很简单,主要结论就是利用类器官模型在高通量药物筛选的同时,进行个性化的诊疗。然而,给我们的启示也有很多。 1.不同药物的药效验证。 哪种药最好,药方里哪个有效成分更加有效,这是大部分研究人员在做的工作,和西医理论相似度最高。而利用类器官作为研究模型,对于中药治疗的临床意义也更大。目前也有人通过添加删减复方中的药物成分来论证重要性和必要性,有一定的意义。 2.同药不同方的差异化验证。 在中医理论的指导下,医生按照中药的药性、配伍、剂量等不同的因素,为肿瘤患者开出各式各样的药方。差异化的药方是否对疾病的进展和机制产生不同的影响,这是一个值得深入研究的问题。通过类器官模型大量筛选药物,有比较好的应用前景。 ……
